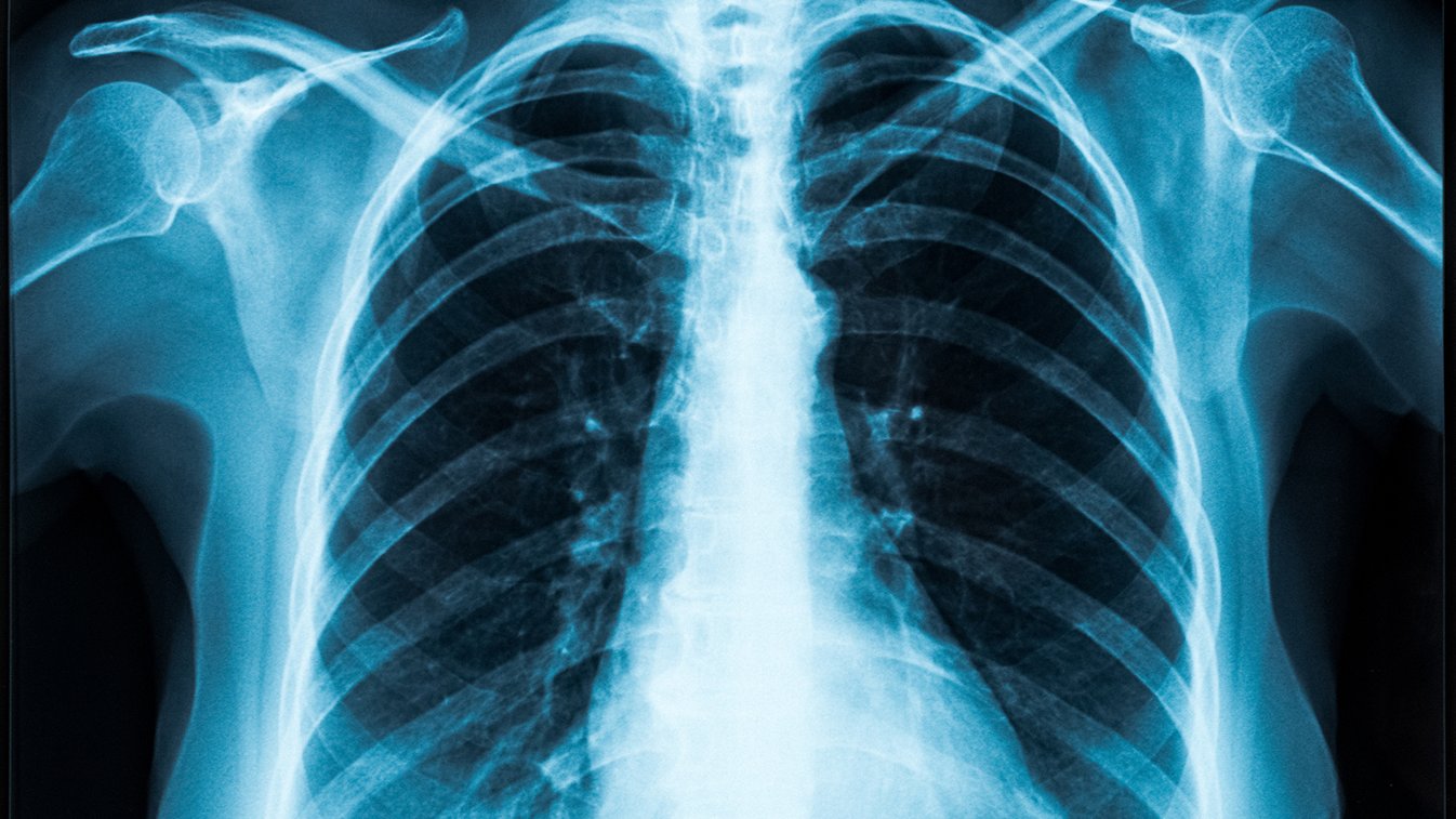
التليف الرئوي.. ما أسبابه؟ وهل من علاجات واعدة؟

مرحبا بك في موقع دنيا يا دنيا، حيث تجد كل ما تحتاجه من معلومات ونصائح .


هذا المحتوى مقدم من قناة رؤيا

إقرأ على الموقع الرسمي


المزيد من قناة رؤيا

منذ 10 ساعات
منذ 8 ساعات
منذ 10 ساعات
منذ 3 ساعات
منذ 8 ساعات
منذ 6 ساعات
خبرني منذ 15 ساعة
خبرني منذ 9 ساعات
وكالة عمون الإخبارية منذ 4 ساعات
خبرني منذ 14 ساعة
خبرني منذ 7 ساعات
صحيفة الغد الأردنية منذ 14 ساعة
قناة رؤيا منذ 11 ساعة
قناة رؤيا منذ 18 ساعة