هذه ليس شريحة لحم بل فخذ امرأة.. هكذا تدمر الأطعمة فائقة المعالجة جودة عضلاتك

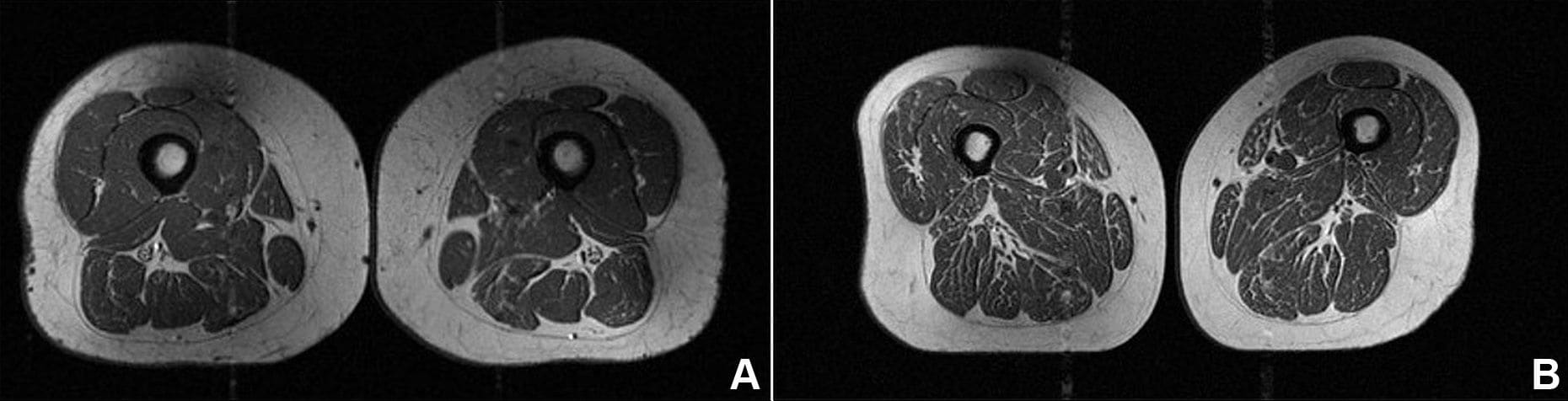
هذه ليس شريحة لحم بل فخذ امرأة.. هكذا تدمر الأطعمة فائقة المعالجة جودة عضلاتك شاهد مقاطع فيديو ذات صلة دبي، الإمارات العربية المتحدة (CNN)-- تبدو هذه الصورة أشبه بشريحة لحم تتمتّع بدرجة عالية من الترخيم (توزيع الدهون)، على نحو قد يذكّرك بقطع اللحم الفاخرة في المطاعم، الغنية بخيوط دقيقة من الدهون المتداخلة.

لكن تُظهر هذه الصورة تصويرًا بالرنين المغناطيسي (MRI) لفخذ امرأة تبلغ من العمر 62 عامًا، كانت تحصل على 87% من سعراتها الحرارية السنوية من الأطعمة فائقة المعالجة.

وقالت الدكتورة زهراء أكّايا، الباحثة والمستشارة في مجموعة أبحاث التصوير العضلي الهيكلي السريري الانتقالي في جامعة كاليفورنيا، بسان فرانسيسكو: "كان النظام الغذائي لهذه المشاركة يعتمد بشكلٍ رئيسي على حبوب الإفطار الباردة، والشوكولاتة، والحلوى، والمشروبات الغازية العادية أو المشروبات المعبأة الغنية بالسكر".

وأوضحت أكّايا، المؤلفة الرئيسية لدراسة جديدة حلّلت تأثير الأطعمة فائقة المعالجة على الدهون داخل العضلات لدى أشخاص معرضين لخطر هشاشة مفصل الركبة، أنّ الخيوط الدهنية الخفية المتغلغلة بين ألياف العضلات وداخلها قد تكون مؤشرًا على مشاكل صحية خطيرة.

ارتبطت الأطعمة فائقة المعالجة بمشاكل صحة عديدة منها:

زيادة الوزن،

والسمنة،

وتطور أمراض مزمنة تشمل السرطان،

وأمراض القلب والأوعية الدموية،

وداء السكري من النوع الثاني،

والاكتئاب،

بل وقد تساهم أيضًا في تقصير العمر.

كما أظهرت امرأة أخرى في الدراسة، تبلغ من العمر 61 عامًا، وجود ترخيم دهني في عضلات فخذها، لكنه كان أقل حدة، إذ شكّلت الأطعمة فائقة المعالجة نحو 29% من نظامها الغذائي السنوي.

وقالت أكّايا: "كان ذلك مقلقًا لأنّ هؤلاء الأفراد الذين خضعوا للتصوير في وقت لم تظهر لديهم فيه أي علامات على التهاب الركبة، كانوا بالفعل يُظهرون تدهورًا في جودة العضلات".

العلاقة بين دهون العضلات وألم الركبة تُضعف الخلايا الدهنية العضلات عبر إعاقة نموها، إذ تمنع ألياف العضلات من التجدد بشكلٍ سليم.

وتُعد العضلات الضعيفة عاملًا رئيسيًا في الإصابة بالتهاب الركبة، أكثر أمراض المفاصل شيوعًا، إذ تصيب نحو 375 مليون شخص حول العالم.

وبعدما كان يُنظر إليها سابقًا على أنّها مرض مرتبط بكبار السن، أظهرت إحدى الدراسات أنّ أكثر من نصف الحالات الجديدة تُصيب أشخاصًا دون سن 55 عامًا، ويُعزى ذلك على الأرجح إلى الارتفاع الحاد في معدلات السمنة عالميًا.

وشرحت أكّايا: "تُعد عضلات الفخذ أساسية لاستقرار مفصل الركبة، وأي تراجع في قوتها أو أنسجتها قد يزيد من الضغط الميكانيكي على المفصل، لا سيما لدى الأفراد الذين يعانون من السمنة، حيث يُضاعف الوزن الزائد هذا العبء".

وتابعت: "لقد أثبت فريقنا وباحثون آخرون سابقًا وجود روابط قوية بين قوة العضلات وجودتها ووظيفتها، وبين تطور خشونة مفصل الركبة".

وأشارت الدكتورة ميريام بريديلا، اختصاصية الأشعة ومديرة معهد العلوم السريرية والترجمية بمركز لانغون الصحي في.....

لقراءة المقال بالكامل، يرجى الضغط على زر "إقرأ على الموقع الرسمي" أدناه


هذا المحتوى مقدم من سي ان ان بالعربية

إقرأ على الموقع الرسمي


المزيد من سي ان ان بالعربية

منذ ساعتين
منذ 8 ساعات
منذ ساعة
منذ 9 ساعات
منذ 26 دقيقة
منذ 3 ساعات
بي بي سي عربي منذ ساعة
قناة روسيا اليوم منذ 3 ساعات
قناة روسيا اليوم منذ 3 ساعات
سكاي نيوز عربية منذ 5 ساعات
قناة روسيا اليوم منذ 10 ساعات
قناة روسيا اليوم منذ 20 ساعة
سي ان ان بالعربية منذ 21 ساعة
قناة روسيا اليوم منذ 11 ساعة